025-87183621
服务项目 服务项目

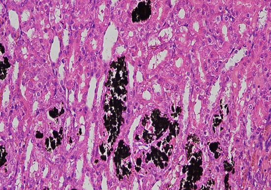
Von Kossa 染色

以下是关于 Von Kossa 染色的详细介绍:基本信息定义:Von Kossa 染色是一种特殊的组织学染色技术,用于检测组织和样本中的钙盐沉积,尤其是磷酸钙染色原理:利用银离子与组织中的磷酸钙盐或碳酸钙盐发生反应,在酸性条件下,钙盐中的钙离子被银离子取代,形成磷酸银或碳酸银沉淀。这些银盐沉淀在光照条件下,会发生光化学降


全国咨询电话:025-87183621

服务详情


以下是关于 Von Kossa 染色的详细介绍:



基本信息

定义:Von Kossa 染色是一种特殊的组织学染色技术,用于检测组织和样本中的钙盐沉积,尤其是磷酸钙

染色原理:利用银离子与组织中的磷酸钙盐或碳酸钙盐发生反应,在酸性条件下,钙盐中的钙离子被银离子取代,形成磷酸银或碳酸银沉淀。这些银盐沉淀在光照条件下,会发生光化学降解反应,被还原为黑色的金属银颗粒,从而使钙盐沉积部位在显微镜下呈现黑色或棕黑色,与周围未钙化的组织形成鲜明对比。

染色步骤

样本制备:通常使用福尔马林固定组织样本,然后将其嵌入石蜡中,再用切片机切成 4-6 微米厚的切片。

脱蜡水化:将切片依次放入二甲苯 Ⅰ、二甲苯 Ⅱ 中各 20 分钟以去除石蜡,再依次经过无水乙醇 Ⅰ、无水乙醇 Ⅱ 各 5 分钟,75% 酒精 5 分钟进行水化,最后用自来水和蒸馏水冲洗干净。

染色处理:把切片浸泡在含 5% 硝酸银的溶液中,暴露于光源下,时间通常为 15-60 分钟,具体取决于钙化程度和组织类型。

冲洗切片:用蒸馏水冲洗切片,以去除未反应的银离子。

核染色(可选):使用核快红或赫马托氏蓝等染料对细胞核进行染色,以提供更好的组织对比和细节观察。

脱水透明:将切片通过浓度递增的乙醇系列进行脱水,再用二甲苯进行透明化处理。

封片观察:用透明封片胶将切片封片,然后置于显微镜下观察,记录钙盐的沉积情况。




在线留言

Online message

姓名

电话

留言内容

联系我们

Contact us
南京东极生物科技有限公司
扫一扫关注
  • 地址:南京市六合区新港湾路166号协合智谷产业园16-3栋
  • 电话:139-1599-6230   025-87183621
  • 邮箱:sales@dj-cro.com
  • 网址:http://ganzi.dj-cro.com
Copyright © 2023 南京东极生物科技有限公司版权所有 All Rights Reserved.
  • 公司联系方式
    QQ
  • 公司微博
    微博
  • 网站首页
    首页
  • 公司联系电话
    电话
  • 返回
    返回顶部